Medical condition Partial knee prosthesis/sled prosthesis – Unicompartmental knee arthroplasty
Osteoarthritis does not always affect all areas of the knee joint. If only the kneecap or the inner or outer part of the knee joint is affected by wear, a partial knee prosthesis (also known as a sled prosthesis) may be considered. Compared to a total prosthesis, a partial prosthesis generally results in better mobility and a more natural-feeling knee.
The knee joint is a large and very complex joint. It allows for stretching, bending and, to a lesser extent, rotation. The kneecap, joint capsule, ligaments (lateral ligaments, cruciate ligaments) and the external and internal menisci provide stability. The joint surfaces are covered with a smooth layer of cartilage that allows the parts of the joint to slide smoothly. However, because the knee joint is put under heavy loads, it is also at a significant risk of injury.
Knee prosthesis
In Switzerland, around 16,000 artificial knee joints are implanted every year. Implanting a knee prosthesis is therefore a routine operation and is usually very successful. Once the artificial joint has been implanted, it is held together by the patient’s own knee ligaments. The strength of the patient’s musculature ensures free extension and flexion of the knee joint. Find out more about knee prostheses in general here.


Indication
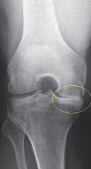
Osteoarthritis, a degenerative and mostly age-related wearing of the cartilage surfaces, causes inflammation and therefore pain in the knee. The bone structure is gradually damaged further and mobility severely restricted. Osteoarthritis cannot be healed and usually progresses until the knee joint is completely destroyed. Wear of the knee joint is the most common reason for knee joint replacement.
Osteoarthritis can also develop as the result of inflammatory rheumatism or years after knee injurie or after meniscus surgery. The extent of the knee pain, limping and the associated disability are key factors in a patient’s decision to consult their doctor.
This suffering, more so than age, is a critical consideration when deciding to implant an artificial knee joint. An important prerequisite is that all conservative and therapeutic (non-surgical) measures currently available have been exhausted or no longer have any effect.


Partial prosthesis vs. total prosthesis
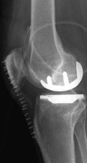
If only the kneecap or the inner or outer part of the knee joint is affected by wear, partial joint replacement (sled prosthesis/unicompartmental knee arthroplasty) may be performed. Important prerequisites for this indication are that the osteoarthritis is primarily limited to a single section of the knee joint and that the knee ligaments are still functional.
Compared to a total prosthesis, a partial prosthesis generally results in better mobility and a more natural-feeling knee. The procedure is also less invasive as all the ligament structures and the joint parts that are still healthy are preserved, which facilitates rapid recovery after surgery.
Surgical treatment
Hospital admission is usually on the day of the operation. The operation can be carried out under general or local anaesthetic and usually takes around 60 minutes.
The knee joint must be exposed from the front by making an incision in the skin of approx. 15 cm long. The worn surfaces of the joint are worked on according to a special cutting plan and prepared for the artificial surface replacement. The exact size and type of prosthesis are selected based on preoperative X-rays and measurements taken during surgery. The artificial joint is then usually anchored in the bone with bone cement.
Osteoarthritis-related leg axis deviations such as knock knees or bowlegs are partially corrected during surgery.
A small amount of blood loss is unavoidable during, and especially after, surgery . Although this is rarely so severe as to necessitate a blood transfusion, the need for a transfusion cannot be completely ruled out.
Metal allergies
In the case of known and severe nickel or metal allergies, the advisability of allergy testing to check for a sensitivity to the metal used will be discussed. However, this problem very rarely occurs in the case of a partial prosthesis. Nevertheless, in the case of a metal allergy, it is possible to opt for a hypoallergenic partial knee prosthesis.
Follow-up treatment and rehabilitation
In the period immediately following the operation, pain management and physiotherapy are prioritised. Successful pain management is very important to us. Pain therapy following the operation draws on a number of disciplines in collaboration with anaesthesiology specialists, physiotherapists, nurses and the attending doctor. At the end of the operation, a local anaesthetic is injected so that the pain after the joint “wakes up” will have been reduced in advance. Pain is controlled and managed directly after the operation with a strict programme of pain medication.
The patient is generally discharged from hospital four to six days after the operation. If the patient is at home alone after being discharged, or if they have to climb a lot of stairs, we recommend that they make use of our aftercare service or ask for help from family members.
Inpatient rehabilitation is not usually necessary. Continuing physiotherapy on an outpatient basis should, however, not be neglected under any circumstances. Our case management team is happy to help with any enquires about an inpatient stay in a rehabilitation clinic or spa treatments following discharge from Schulthess Klinik. Clarifying the coverage of costs for rehabilitation of this kind in good time is strongly recommended.
Physiotherapy and exercise
Thanks to pain therapy, mobilisation by physiotherapy is possible as early as the day of the operation. With active and passive physiotherapy, adhesion of the sliding surfaces in the knee joint with potential restriction of mobility is prevented. Patients receive physiotherapy on a daily basis during their hospital stay .
The use of walking sticks is recommended for four to six weeks, whereby the patient may generally put weight on the operated knee up to their pain limit. After the patient's initial hospital stay, physiotherapy usually takes place twice a week for three to four months.
Driving is only permitted after consulting your doctor. You can restart strength training, working out or exercising after consultation with your physiotherapist or your doctor.

No dental work after knee surgery
Any foreseeable dental work should be carried out before undergoing knee surgery. Good and regular dental hygiene is important. Dental work should not be carried out in the first three months after the knee operation unless due to an infection. Before dental procedures, it is important to rinse the mouth with an antiseptic. Prophylaxis with antibiotics before going to the dentist is only considered in rare cases in immunosuppressed patients. (Recommendation in accordance with the review article of the expert group 'Infection' of Swiss Orthopaedics, Sendi et al, J. Bone Joint Infect 2016; 1: 42)
Chances of success
The long-term results show that a correctly inserted and well healed artificial knee joint can function without any problems for more than 15 to 20 years.
The statistics confirm that, in over 90% of cases, patients are very satisfied with their artificial knee joint and can therefore lead a normal, carefree life. After this time, it is usually signs of wear that lead to the replacement of individual parts or the entire artificial knee joint.
The aim of knee prosthesis surgery is to allow patients to walk again without pain or limping. In addition, the patient should be able to perform certain physical activities without pain again. This objective is also achieved in most cases.
From the very beginning, it is important to regain range of motion. We aim for a flexion of more than 120°. However, a more or less definitive healing result is only achieved 12 to 18 months after the operation.
With an artificial partial knee joint, you can lead a normal, active life. However, high-risk sports, including contact sports such as football and activities that involve excessive strain on the knee joint (e.g. jogging), should be avoided. Many patients return to sports such as cycling, golf, hiking and skiing.
Risks
Partial knee replacement surgery is not an emergency operation, but an elective procedure. It can be planned in at your convenience. This means that any risks and complications can be kept to a minimum.
Despite good planning and preventive measures, the implantation of a partial knee prosthesis poses certain risks, as with any surgery. Possible surgical risks include thrombosis, embolism, infections, wound healing disorders, bruising and post-operative bleeding, damage to nerves, vessels and other anatomical structures, adhesions with poor mobility and function of the knee joint, and some residual pain.
You will be informed about this in detail during a consultation with your doctor. All these risks occur in less than 1% of cases and should not in any way discourage knee replacement surgery .
Rarely, osteoarthritis can develop in one of the non-replaced parts of the knee after partial joint replacement. In most cases, this can be improved by conservative measures. If the patient’s suffering remains high despite conservative measures, switching to a total prosthesis can be considered in special cases.